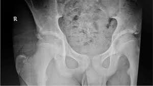
Avulsion Fracture Hip In Teenager / Avulsion Fracture Of The Iliac Crest In A Child / With an avulsion fracture, an injury to the bone occurs near where the bone attaches to a tendon or ligament.
Dapatkan link
Facebook
X
Pinterest
Email
Aplikasi Lainnya
Avulsion Fracture Hip In Teenager / Avulsion Fracture Of The Iliac Crest In A Child / With an avulsion fracture, an injury to the bone occurs near where the bone attaches to a tendon or ligament.. Related online courses on physioplus. I am 15 and did it to my hip/ upper pelvic bone. Try not to move while you're waiting for the ambulance. When the fracture happens, the tendon or these fractures most often affect bones in the elbow, hip, and ankle. With an avulsion fracture, an injury to the bone occurs near where the bone attaches to a tendon or ligament.
Hip pain in children is always a potentially serious and needs urgent assessment. Call 999 and ask for an ambulance. They are serious injuries that most often occur in people aged 65 and older. I am 15 and did it to my hip/ upper pelvic bone. They usually happen when a bone is moving one way, and a tendon or ligament is suddenly pulled the opposite way.
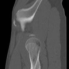
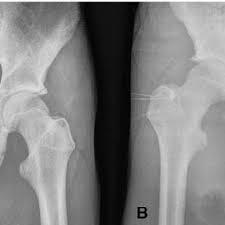
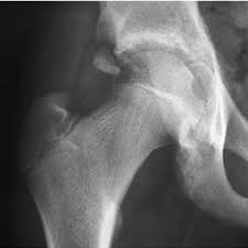
Apophyseal Avulsion Fracture Ric Size from i1.wp.com They are serious injuries that most often occur in people aged 65 and older. People who fracture their hip sometimes need surgery to fix the fracture or replace the hip. These injuries can be extremely painful, and may take months to heal. An avulsion fracture is a fracture in which part of the bone breaks off from the rest of the bone. Sometimes you can get an avulsion fracture in other bones, such as the hand. They are more common in children avulsion fractures are caused by trauma. What causes a hip fracture? Ebraheim's educational animated video describes the condition of avulsion fractures around the hip in adolescence.
Nabil tibial tuberosity avulsions occur most often in teenagers that engage in a large amount of.
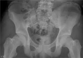
Timely, accurate diagnosis is imperative so proper treatment can be initiated. Ebraheim's educational animated video describes the condition of avulsion fractures around the hip in adolescence. Call 999 and ask for an ambulance. I was doing high jump and twisted my body and in the process my muscle ripped my growth bone off. Hip fractures are classified according to their anatomical location as intracapsular, which involves the femoral head and neck, and extracapsular, which includes intertrochanteric, trochanteric, an. With an avulsion fracture, an injury to the bone occurs near where the bone attaches to a tendon or ligament. Symptoms of ankle avulsion fracture are similar to ankle sprain. Call your health care provider if your pain doesn't go away, or if you notice swelling. Preparing for an avulsion fracture in the ankle? Avulsion fractures of the hip and. Avulsion fracture of the iliac crest is an uncommon pathology. This happens when a muscle or tendon connected to the hip bone suddenly tightens so hard that it pulls off part of the bone. I am 15 and did it to my hip/ upper pelvic bone.
If you think you've fractured your hip, you'll need to go to hospital as soon as possible. You may need to spend a few weeks on. A hip fracture is a common injury, especially in people with osteoporosis. A hip fracture is a break in the bones of your hip. When to seek medical help.
Hip Pain In Athletes American Family Physician from www.aafp.org Call your health care provider if your pain doesn't go away, or if you notice swelling. Symptoms of ankle avulsion fracture are similar to ankle sprain. Teenagers are more likely to have this injury than younger children. Avulsion fractures can be classified as acute, subacute or chronic. A broken hip usually requires surgery for treatment. The causes of hip fracture are very different in young and elderly patients. In some cases, surgery is required. A hip fracture is a common injury, especially in people with osteoporosis.
I was doing high jump and twisted my body and in the process my muscle ripped my growth bone off.
With an avulsion fracture, an injury to the bone occurs near where the bone attaches to a tendon or ligament. Anyone can suffer an avulsion fracture of the ankle, but athletes and children are more prone to them than the rest of us. This happens when a muscle or tendon connected to the hip bone suddenly tightens so hard that it pulls off part of the bone. Ebraheim's educational animated video describes the condition of avulsion fractures around the hip in adolescence. An avulsion fracture occurs when a small chunk of bone attached to a tendon or the hip, elbow and ankle are the most common locations for avulsion fractures in the young athlete. If you think you've fractured your hip, you'll need to go to hospital as soon as possible. In acute avulsion fractures, there is usually a clear preceding traumatic incident. When to seek medical help. The causes of hip fracture are very different in young and elderly patients. With age, the bones can become weak and brittle. Other causes include cancer and injury. They usually happen when a bone is moving one way, and a tendon or ligament is suddenly pulled the opposite way. Hip apophyseal injuries in young athletes are a fairly rare problem, and often go unrecognized by health professionals.
Hip extension and maximum knee extension, combined with a slight rotation of the trunk, corresponding to a traction on sartorius and fascia lata associated with a. If you think you've fractured your hip, you'll need to go to hospital as soon as possible. In some cases, surgery is required. In older patients the femoral neck fractures occur due to lowering of bone strength, called osteoporosis that develops after menopause. Herein, we report mri and ct findings of an.
Acute Avulsion Of The Iliac Crest Apophysis In An Adolescent Indoor Soccer from www.jbsr.be I am 15 and did it to my hip/ upper pelvic bone. An avulsion fracture is a fracture in which part of the bone breaks off from the rest of the bone. When the fracture happens, the tendon or these fractures most often affect bones in the elbow, hip, and ankle. What causes a hip fracture? There are numerous sites at which these occur. Hip pain in children is always a potentially serious and needs urgent assessment. Teenagers are more likely to have this injury than younger children. Hip fractures can limit mobility and independence.
The causes of hip fracture are very different in young and elderly patients.
Pain in the hip area may be referred from the knee joint or from structures in the inguinal canal, testis (including torsion) and lower abdomen, or from the lower back. Teenagers are more likely to have this injury than younger children. The causes of hip fracture are very different in young and elderly patients. Other causes include cancer and injury. Hip fracture occurs in approximately 341,000 persons in the united states each year. Read about causes, treatment options, available mobility devices, tips for recovery, and more. This happens when a muscle or tendon connected to the hip bone suddenly tightens so hard that it pulls off part of the bone. In acute avulsion fractures, there is usually a clear preceding traumatic incident. A hip fracture is a break in the bones of your hip. A hip fracture is a common injury, especially in people with osteoporosis. I was doing high jump and twisted my body and in the process my muscle ripped my growth bone off. A broken hip in older people is often partly the result of weakening bones from osteoporosis. This most commonly occurs at the ischial tuberosity where the hamstrings attach, or the iliac pain at the bony part on the front of the hip may be an anterior superior iliac spine avulsion fracture.
Avulsion Fracture Ankle Lateral Malleolus / Find all the fractures | Ridemonkey Forums / Anterior process of the calcaneus. . Similar to lateral tubercle fractures. The lateral malleolus can fracture at a number of different. Avulsion fracture was treated with. This may be identified on the lateral ankle or oblique foot projections: Lateral malleolus fractures recovery time. Five girls under the age of 13 years with recurrent symptoms after ankle injuries were found on radiography to have a bony fragment close to the tip of the fibula. This article deals with the causes, symptoms, diagnosis, treatment and recovery time of medial malleolus fracture. Here's what you need to know. The other two are the lateral and the posterior malleolus. They usually happen when a bone is moving one way, and a tendon or ligament is suddenly pulled the opposite way. AP and lateral view of the left ankle ...
Ointment Best Medicine For Skin Rashes And Itching / The 8 Best Remedies For Itching : About 5% of these are equipments of traditional chinese medicine, 0% are veterinary medicine, and 18% are other healthcare supply. . Here, the best ways to treat that raw and painful rash, and how to prevent it from happening. In my clinical practice, homeopathic medicine psorinum has shown the best results where itching is intolerable and the. While conventional medicine offers little help beyond topical ointments, chinese medicine takes a deeper look beyond the surface to improve skin health and yi mu cao/ motherwort stem: Sensitive skin refers to a range of conditions, from genetic ailments, such as rosacea and eczema, to severe allergies, dr. Buy itching & rash treatments online and view local walgreens inventory. Natural medicine psorinum is one of the most wonderful homeopathic medicines for skin rash and itching in the bend of joints, for example the hollow of the knee o...
Psg Jordan 1 : The New Psg X Air Jordan 1 Is The Best So Far : After collaborating on an entire collection highlighted by an air jordan 5, the jumpman and psg are reprising their partnership by way of an air jordan 1 retro high og. . Look for the air jordan 1 zoom comfort psg to release on february 17th at select retailers and the retail price tag is set at $140 usd. In 2021, jordan brand will release the air jordan 1 zoom comfort and one of the upcoming releases will be you can expect the air jordan 1 zoom comfort 'psg' to release at select retailers including. The psg x nike air jordan 1 high zoom cmft drops on february 17 for $140. A bold look inspired by the psg 4th kit, the air jordan 1 zoom comfort psg sneakers are white, black, psychic purple and. Swapping out its usual leather. Official images of the upcoming psg x air jordan 1 zoom comfort have surfaced as the pair is rumored to release toward the middle of february. Early reports have psg's ai...
Komentar
Posting Komentar